home
節 歯科クリニック 03-3496-1903

基本的に予約制による診察です。
診察予約の受付時間
平日 9:15~12:30 /
1:30~6:30
(土曜日は3:00まで)
以後夜間については事前予約者への完全予約診察となります。
診察時間

月曜〜金曜
AM : 9:30 ~ 12:00
PM : 2:00 ~ 8:00
土曜
AM : 9:30 ~ 12:30
PM : 2:00 ~ 5:00
休診日

日曜・祝祭日・偶数数字の月曜
急患の受付については上記受付時間内にて対応をいたします。setsu_dc
治療項目

健康保険歯科
歯ぎしり治療・顎関節症治療・歯周病治療・むし歯治療・義歯・定期検診
保険外歯科
インプラント・審美治療・金属床義歯・レーザー治療・小児矯正・ホワイトニング・咬合治療・予防歯科
症例紹介 (1) インプラント
初期症例

① この写真は平成5年に、治療完了後の状態の確認のために撮影したもので、治療はその前年に行われています。簡単に説明すると、歯の残存状態が上顎は大臼歯(奥歯)3本のみ残して11本が失われ、下顎がその逆に大臼歯全てと右下の犬歯とその後ろも含めて合計6本が失われ、上下で互い違いの関係の、すれ違い状態になっていました。

上顎は大臼歯3本が比較的しっかりとしていたので、それを支えとしたシリンダータイプ(コーヌス)義歯にて全歯を、下顎は両側の大臼歯部に、当時良く使われていた“人工サファイヤ”のU字型をしたタイプと、右下犬歯部にはチタンコートのブレード型POIインプラントを採用し、隣在歯と連結することで欠損補綴を行い、崩壊した状態の口腔内と、失われてしまった状態の咬み合わせの再建を図ったものです。

 参考までに、これらの比較的初期の“人工サファイヤ”インプラントの場合、現在主流となっている、直接チタンと骨が結合する「オッセオインテグレーション」や、ハイドロキシアパタイトを介して骨と結合する「バイオインテグレーション」のような骨との結合関係はありません。

 しかし、限りなく滑沢なその表面性状は、口腔内においても汚れを寄せ付けないという長所でもありました。また、骨との直接な結合関係こそ無かったものの、インプラント治療後数年を経過していた下顎の大臼歯部の症例において、その隣在歯の殆どを喪失しながら、“人工サファイヤ”タイプのインプラントのみが単独で強固に残存していたような症例も、自分自身の目で直接確認しており、このインプラントの性質が現在主流のものと比較して必ずしも劣るものではないと、実体験上思っています。

 近年、インプラント治療を始めた先生方では、この“人工サファイヤ”タイプのインプラントはもとより、ブレード・タイプのインプラントの現物を見たことも触ったこともないという方が殆どかと思われますので、こうしたお話も、ちょっと想像がつきかねるかもしれませんね。


info_1
② これは右上の奥歯を2本連続して失った部位に対して、最後臼歯部分にT字型をした“人工サファイヤ”タイプのインプラントを施し、その手前の2本の歯とブリッジ状に連結する事で欠損補綴を行っています。やはり、上記と同時期のものです。

info_1
③ これも上の症例と同じものですが、インプラントの底部が上顎洞底線にタッチするように埋入処置が行われていることが確認できます。当時の“人工サファイヤ”タイプのインプラントは、「単独植立」を前提としておらず、隣在歯と連結するやり方が基本となっていました。

info_1
④ この症例は前歯用のブレード型チタンコートPOIインプラント を右上1本目の前歯部に埋入し、隣在する歯とブリッジ状に連結する事で欠損補綴を行ったものです。当時のブレード型POIインプラントは、“ベンダー”にて埋入部分と露出部分の角度設定を施し、無理のない角度で骨内へ埋入出来るようにしていました。

info_1
⑤ こちらは、左上の4〜6番目の3本の歯の連続した中間欠損で、同部分にU字型の“人工サファイヤ”タイプのインプラントを施し、前後の歯とブリッジ状に連結する事で欠損補綴を行ったものです。やはり、インプラントの底部が上顎洞底線にタッチするように埋入処置が行われていることが確認できます。

info_1
⑥ これは、左上の4番目の歯の中間欠損部分に、スクリュータイプの“人工サファイヤ”インプラントを埋入し、前後の歯とブリッジ状に連結する事で欠損補綴を行っています。インプラントの底部が上顎洞底線にタッチするように埋入処置が行われた症例です。

info_1
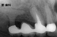
⑦ この症例は、右下奥の3本を連続して喪失しているケースで、同部位にU字型の“人工サファイヤ”タイプのインプラントを埋入し、隣在する歯とブリッジ状に連結することで、欠損補綴を行っています。

info_1
⑧ これは、右下の6番目の歯の中間欠損部分に、スクリュータイプの“人工サファイヤ”インプラントを埋入し、前後の歯とブリッジ状に連結する事で欠損補綴を行った症例です。

info_1
⑨ この症例は、右下奥の2本を連続して喪失しているケースで、同部位にU字型の“人工サファイヤ”タイプのインプラントを埋入し、隣在する歯とブリッジ状に連結することで、欠損補綴を行っています。

info_1
⑩ この症例も、右下奥の2本を連続して喪失しているケースで、こちらは一番奥の最後臼歯部に、土字型の“人工サファイヤ”タイプのインプラントを埋入し、隣在する歯と連結することで、ブリッジ状の欠損補綴を行っています。

info_1
⑪ この症例は、左下奥の2本を連続して喪失しているケースで、同部位にU字型の“人工サファイヤ”タイプのインプラントを埋入し、隣在する歯と連結することで、欠損補綴を行っています。

info_1
⑫ この症例は、左下の1番奥の歯1本を喪失しているケースで、最後臼歯部にスクリュータイプの“人工サファイヤ”インプラントを埋入し、隣在する歯と連結することで、欠損補綴を行っています。

info_1
⑬ この症例は、左下奥の2本を連続して喪失しているケースの一番奥の最後臼歯部に、土字型の“人工サファイヤ”タイプのインプラントを埋入し、隣在する歯と連結することで、ブリッジ状の欠損補綴を行っています。

info_1
⑭ 平成7年に処置が施されたこの症例は、左下奥の2本を連続して喪失していたケースで、同部位にU字型の“ブレード型チタンコートPOI”タイプのインプラントを埋入し、隣在する歯と連結することで、欠損補綴を行ったものです。現在でも、メインテナンス等で来院されている患者さんで、15年以上が経過した、平成22年現在でも全く当時と同様に、現役で機能しています。

setsu_dc


PAGE
TOP